礼儀正しい壁紙

Covid 19 Tips From The Mom Of A Child With Cystic Fibrosis Norton Children S Louisville Ky

Coronavirus Texas 54 Year Old Mother Dies From Covid 19 In Jersey Village Abc13 Houston

Get Live Updates On Coronavirus Coverage In The Mid South Localmemphis Com

A 9 Year Old Who Died Of Coronavirus Had No Known Underlying Health Issues Family Says Wkrn News 2

Helena Mother Says 2 Year Old Tested Positive For Covid 19 Community Stepping Up To Help Wbma

We Re In Here Fighting 5 Nurses Take Us Inside The Coronavirus Unit At Parkland Hospital In Dallas

Covid 19 Possibly Striking More Children Than Expected

Viral Video Covid 19 Through The Eyes Of A Four Year Old Fox 2

107 Year Old N J Woman Survives Spanish Flu And Covid 19 Fox 2

A 6 Year Old Tennessee Boy With Cystic Fibrosis Beats Covid 19 Wcbd News 2

Journey To Recovery 2 Year Old Contracts Covid 19 Youtube

11 Year Old Broward Girl With Underlying Conditions Dies From Covid 19 Wsvn 7news Miami News Weather Sports Fort Lauderdale

11 Year Old Miami Dade Boy Dies From Covid 19 Amid Rise In New Cases Wsvn 7news Miami News Weather Sports Fort Lauderdale

Coronavirus Teurlings Grad David Lemaire 19 Dies From Covid 19

Coronavirus In Texas 84 Year Old Mckinney Man Dies From Covid 19 2 Days After Diagnosis Cbs Dallas Fort Worth

27 Year Old Coronavirus Survivor Has Warning For Young People Wltx Com

2 Year Old Child In Leon County Tests Positive For Covid 19

2 Year Old Oklahoma Girl Tests Positive For Kawasaki Disease And Covid 19

Coronavirus Majority Of Confirmed Covid 19 Cases In Massachusetts Are People Under 50 Years Old Masslive Com

0lcne Ebbf9 8m

70 Year Old Us Man Beats Covid 19 Gets 1 1 Million Hospital Bill

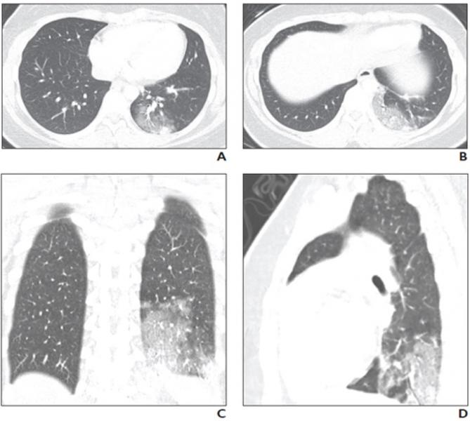
Covid 19 Pediatric Findings In New Review Of Lung Disorders Imaging Technology News

Figure Covid 19 In 2 Persons With Mild Upper Respiratory Tract Symptoms On A Cruise Ship Japan Volume 26 Number 6 June 2020 Emerging Infectious Diseases Journal Cdc

Arlington Reports First 2 Covid 19 Related Deaths A 72 Year Old And 60 Year Old Wjla

Three Children Who Recovered From Novel Coronavirus 2019 Pneumonia Lou 2020 Journal Of Paediatrics And Child Health Wiley Online Library

Knox County 2 Year Old With Covid 19 Is Doing Great Father Says Covid 19 Knox County Updates Knoxpages Com

108 Year Old Man May Be The Oldest Survivor Of Covid 19

Heartbreaking Police Officer On Covid 19 Duty Talks To His 2 Year Old Son Through The Window

Covid 19 Kills 39 Year Old Cheektowaga Mom With 2 Children Local News Buffalonews Com

Young Victim 25 Year Old Woman From Berkeley County Is West Virginia S 54th Covid 19 Death Wv News Wvnews Com

44 Year Old Denison Man Discharged From Bluffs Hospital After Long Struggle With Covid 19 Health And Fitness Nonpareilonline Com

69 Year Old Man Dies From Covid 19 Medical Examiner Says

N Vvhndpswefwm

7 Year Old Child Among 16 Confirmed Cases Of Covid 19 In Tuscarawas County

85 Babies Under 1 Year Old In Nueces County Have Tested Positive For Covid 19 Health Official Annette Rodriguez Says 6abc Philadelphia

22 Year Old Chicago Mom And Youngest Child Of 2 City Workers Dies From Covid 19 Abc News

6 Year Old Girl Dies After Testing Positive For Covid 19 In West Tennessee

Department Of Health Osceola County S Latest 2 Covid 19 Fatalities Were 70 And 76 Years Old

Gif Covid 19 Hiv What Is The Risk For People Living With Hiv People Over 60 Years Old Paho Who Pan American Health Organization

Covid 19 2 Year Old Among Ridgefield S 84 Positive Cases Ridgefield Daily Voice

Habersham County Georgia Child Dies From Covid Coronavirus 11alive Com

29 Year Old Overcomes Covid 19 Cardiac Arrest While On Ventilator

After Covid 19 Cancels Eight Year Old S Birthday Party Mom Hosts A Parade News Blog

16 Year Old Girl Becomes France S Youngest Coronavirus Victim

Sussex Toddler Tests Positive For Coronavirus Family Raises Awareness

Fdoh Reports Death Of 44 Year Old Man Related To Covid 19 In Okaloosa County Marks The County S Third Death Wkrg News 5

A Five Year Old Child Has The Covid 19 Virus Insider Nj

Coronavirus Long Island Update 10 Year Old Celebrates Birthday By Hosting Fundraiser For Covid 19 Patients Abc7 New York

19 Year Old Youngest In Quebec To Die From Complications Linked To Covid 19 The Star

Covid 19 In Minnesota 20 24 Year Olds Make Up Highest Percentage Of Cases

Rising Covid 19 Case Numbers Among Young People In The Valley Could Be A Warning Sign Aspen Public Radio

Coronavirus 2 Year Old Boy Youngest To Test Covid 19 Ve In Delhi Cancer Hospital Pregnant Mother Infected Too

Family Of 34 Year Old In 2 Week Coma With Covid 19 Fights For Remdesivir Business Insider

2 Alabama Inmates Die After Contracting Covid 19 Cbs 42

7 Year Old Chatham County Boy Dies From Covid 19 Health Officials Confirm

3 More Deaths 52 New Cases Reported In Lexington Ky Monday Lexington Herald Leader

Logan County 25 Year Old Becomes State S Sixth Covid 19 Fatality Coronavirus Wvgazettemail Com

1 Year Old Georgia Boy Dies From Covid 19 State Officials Confirm

Nine New Covid 19 Deaths Include 26 Year Old Cape Gazette

Ohio 2 Year Old Tests Positive For Covid 19

Alabama Inmate Dies 24 Hours After Positive Covid 19 Test 2 Others Also Treated For Coronavirus Al Com

Coronavirus 75 Year Old Saugus Man Beats Covid 19 After 2 Weeks In Hospital Abc7 Los Angeles

Coronavirus Covid 19 Information And Tips From Dr Sophia Yen Pandia Health

Duval St Johns Report Record Increases In Covid 19 Cases

Coronavirus Pandemic Montgomery Greene And Darke Report First Deaths Schools To Stay Closed Until May

Coronavirus 1 Year Old Duval Child Among Northeast Florida S 643 Covid 19 Cases

I Love You Guys With All My Heart Coronavirus Victim Leaves Behind Emotional Note For Wife Kids

2 Year Old Girl Family In Fresno Ca Contract Coronavirus The Fresno Bee

Mobile County Reports Second Covid 19 Death A 74 Year Old Man Wkrg News 5

Edison Reports Five New Covid 19 Cases Which Includes A 10 Year Old Child Centraljersey Com

Gwinnett County Teen Boy Dies Of Covid State Confirms 11alive Com

Covid 19 Affecting 20 44 Year Olds At High Rates In Kansas The Sunflower

2 Year Old At Clarion Daycare Center Tests Positive For Covid 19 Weareiowa Com

Father Shares Covid 19 Concerns As His 2 Year Old Daughter Waits For Heart Transplant

She Has Superhuman Dna 101 Year Old Woman Beats Covid 19 Has Survived 2 Pandemics And Cancer

Tarrant County Dog Is First In Texas To Test Positive For Virus That Causes Covid 19

Cureus Common Ct Findings Of Novel Coronavirus Disease 2019 Covid 19 A Case Series

Rising Covid 19 Case Numbers Among Young People In The Valley Could Be A Warning Sign Aspen Public Radio

More Than A Number Mother Of Covid 19 Victim Wants Her Son To Be Remembered Texas Public Radio

Father Says Stay Home After 24 Year Old Daughter Dies From Covid 19

Oha 2 New Covid 19 Deaths 66 New Cases

New Positive Covid 19 Case Announced In Florida

24 Year Old Man Faces 30 Years For Covid 19 Related Wire Fraud Wfla

Georgia S Youngest Covid 19 Victim Attended Church Where 2 Elderly Members Died From The Virus World Nation Albanyherald Com

Update On L A Teen S Death That May Be Coronavirus Related Los Angeles Times

26 Year Old In Washington May Be Among Covid 19 Long Haulers Krem Com

14 Yr Old Covid Positive Girl Sexually Assaulted By Another Patient At Care Centre In Delhi 2 Arrested

15 Year Old Dies From Covid 19 In Baltimore County First Covid 19 Child Death In Maryland

Coronavirus Covid 19 Information And Tips From Dr Sophia Yen Pandia Health

Getting Answers More 20 To 44 Year Olds Testing Positive For Covid 19 In Arizona

16 Year Old Dead From Covid 19 Fox21 News Colorado

Doctors Suspect Death Of 16 Year Old Boy From Suburban Chicago May Be Linked To Covid 19

Young Victim 25 Year Old Woman From Berkeley County Is West Virginia S 54th Covid 19 Death Wv News Wvnews Com

Covid 19 Kills 39 Year Old Cheektowaga Mom With 2 Children Local News Buffalonews Com

West Tennessee School District Mourns Loss Of 6 Year Old To Covid 19 Wkrn News 2

9 Year Old Putnam Co Girl Becomes Youngest Florida Covid 19 Death Abc10 Com

How Covid 19 Affects The Brain In Neuroimaging Imaging Technology News

Covid 19 Possibly Striking More Children Than Expected

Covid 19 Could Lead To Child Care Shortage

Niagara County Has 56 Covid 19 Cases 2 Are 1 Year Old Children Wgrz Com